RESERVA AQUÍ TU

HORA ONLINE >

I  DISEÑO DE SONRISAS  I

MÁS INFORMACIÓN

¿QUE ES UN DISEÑO DE SONRISA?

 

Un diseño de sonrisa es un procedimiento odontológico que busca mejorar la apariencia estética de la sonrisa de una persona. Es un enfoque integral que combina varios procedimientos dentales y estéticos con el objetivo de lograr una sonrisa más armoniosa, equilibrada y atractiva.

El diseño de sonrisa se realiza en colaboración entre el paciente y el dentista, quienes trabajan juntos para identificar los aspectos que desean mejorar en la sonrisa. Esto puede incluir el color, la forma, el tamaño y la posición de los dientes, así como la línea de la sonrisa, la proporción dental y la estética de las encías.

 

El proceso de diseño de sonrisa implica una evaluación detallada de la estructura dental y facial del paciente. El dentista puede utilizar herramientas como fotografías, modelos de estudio y software de diseño asistido por computadora para visualizar y planificar los cambios necesarios.

 

Una vez establecido el plan de tratamiento, se pueden utilizar una variedad de técnicas y procedimientos para lograr los resultados deseados. Estos pueden incluir blanqueamiento dental, carillas de porcelana o composite para corregir el color y la forma de los dientes, ortodoncia o alineadores transparentes para corregir la alineación dental, implantes dentales para reemplazar dientes faltantes y cirugía de encías para mejorar la apariencia de las encías.

 

Es importante destacar que el diseño de sonrisa no solo se centra en la estética, sino también en la funcionalidad y la salud oral del paciente. Como Especialistas en Sonrisas nos esforzamos por lograr un equilibrio entre la apariencia estética y la función adecuada de los dientes para garantizar una sonrisa hermosa y duradera.

 

En resumen, un diseño de sonrisa es un enfoque integral y personalizado para mejorar la apariencia estética de la sonrisa de una persona, utilizando una combinación de técnicas dentales y estéticas para lograr resultados óptimos.

MÁS INFORMACIÓN

MÁS INFORMACIÓN

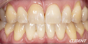
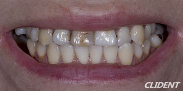
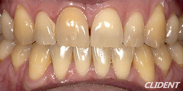
ANTES

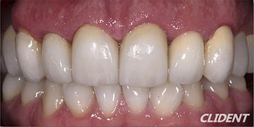
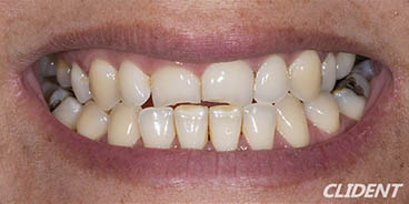
DESPUÉS

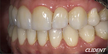
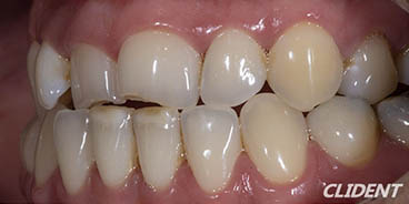
ANTES

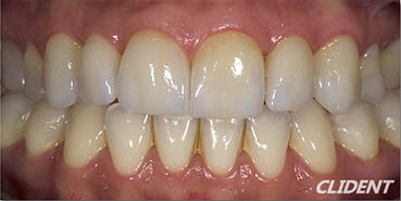
DESPUÉS

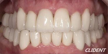
ANTES

DESPUÉS

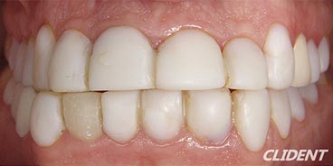
ANTES

DESPUÉS

ANTES

DESPUÉS

ANTES

DESPUÉS

ANTES

DESPUÉS

ANTES

DESPUÉS

ANTES

DESPUÉS

ANTES

DESPUÉS

MÁS INFORMACIÓN

TESTIMONIOS

CASOS

I   CONTACTO    I

Mediante el siguiente formulario de contacto podrás consultar por nuestros Tratamientos, esperamos tus comentarios, los cuales

serán atendidos a la brevedad.

Enviando formulario...

El servidor ha detectado un error. Favor intentar nuevamente. Gracias

Formulario recibido.

Diseño de Sonrisa

• Odontología Integral Niños y Adultos

• Ortodoncia - Implantes Dentales

• Estética Dental - Endodoncia

• Prótesis Fija y Removible

• URGENCIAS •

Horarios de Atención:

 

LUNES A VIERNES

9:30  A  12:30

15:00  A  18:00

LLAMAR

32 295 69 90

+569 8588 1598

Villa Alemana - Buenos Aires 1001